Particles in lipid bilayers
Freie Universität Berlin
.
Model of clathrin-mediated endocytosis
Image Credit: Frauke Ackermann, Joshua A. Gregory and Lennart Brodin
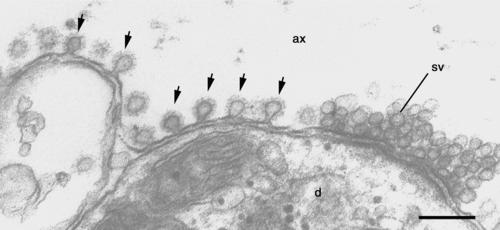
Amphiphysin trapped coated pits with narrow necks
Image Credit: Frauke Ackermann, Joshua A. Gregory and Lennart Brodin
The interplay of proteins and curvature of lipid bilayers is well-known to regulate cell morphology and a variety of cellular functions, such as trafficking or signal detection. Here, interplay not only means that proteins can induce curvature by shaping and remodeling the membrane, but also that the membrane curvature plays an active role in creating functional membrane domains and organizing membrane proteins, including their conformation dynamics. Moreover, microscopic causes, such as hydrophobic mismatch of proteins and amphiphilic lipids, may have macroscopic effects, such as budding or fission. For example, the membrane remodeling during endocytosis is a consequence of the interplay between the elastic membrane and concerted actions of highly specialized membrane proteins that can both sense and create membrane curvature. In case of the clathrin-mediated endocytosis more than 40 different proteins are involved, many of which are only transiently recruited to the plasma membrane. In this project, we start with mathematically consistent formulations of existing and advanced models and the numerical analysis of related discretization methods and then proceed to suitable upscaling techniques.
Conference:
Geometric partial differential equations: Surface and bulk processes, Oberwolfach Workshop 1549, 29 Nov - 5 Dec 2015,
Organizers: K. Deckelnick, C.M. Elliott, R. Kornhuber, J. Sethian (Proceedings: Oberwolfach Report No. 55/2015)
Publications:
Elliott, C.M. and Gräser, C. and Hobbs, G. and Kornhuber, R. and Wolf, M.W. (2016) A Variational Approach to Particles in Lipid Membranes. Archive for Rational Mechanics and Analysis, 222 (2). pp. 1011-1075. ISSN Print: 0003-9527; Online:1432-0673
Talks:
09/15/2014: R. Kornhuber, A variational approach to particles in bilipid layers, Conference on Interdisciplinary Approaches to Biomembranes, FU Berlin
12/29/2014: A. Djurdjevac, Parabolic partial differential equations on moving spaces, Mathematical seminar, Mathematical Institute, Serbian Academy of Sciences and Arts, Belgrade, Serbia
11/04/2015: R. Kornhuber, Numerical approximation of interacting particles in lipid membranes, Multi-physics geometric PDEs using deformable surfaces: Analysis, modelling, numerics and applications, University of Sussex, Sussex
11/12/2015 and 12/03/2015: A. Djurdjevac, Monte Carlo evolving surface finite element methods for PDEs with random coefficients on moving hypersurfaces, Workshop "Direct and Inverse Problems for PDEs with Random Coefficients", Weierstrass Institute, Berlin, and Oberwolfach Workshop 1549 "Geometric partial differential equations: Surface and bulk processes", Oberwolfach
12/24/2015: A. Djurdjevac, Parabolic partial differential equations on moving hypersurfaces with random coefficients, Mathematical seminar, Mathematical Institute, Serbian Academy of Sciences and Arts, Belgrade, Serbia
02/18/2016: A. Djurdjevac, Partial differential equations with random coefficients on moving hypersurfaces, 4th BMS Student Conference, Berlin
02/29/2016: R. Kornhuber, Particles and membranes, Efficient Methods for Multiscale Simulations and Data Analysis, Söll, Austria
02/24/2017: C. Gräser, Moving particles in biological membranes, Applied Mathematics Seminars, University of Warwick, UK
03/27/2017: C. Gräser, Modeling and simulation of particles in membranes, Scaling Cascades in Complex Systems 2017, first conference of CRC 1114, FU Berlin
01/22-28/2017: C. Gräser, Moving particles in biological membranes, Oberwolfach workshop 1704 "Emerging Developments in Interfaces and Free Boundaries", Oberwolfach



