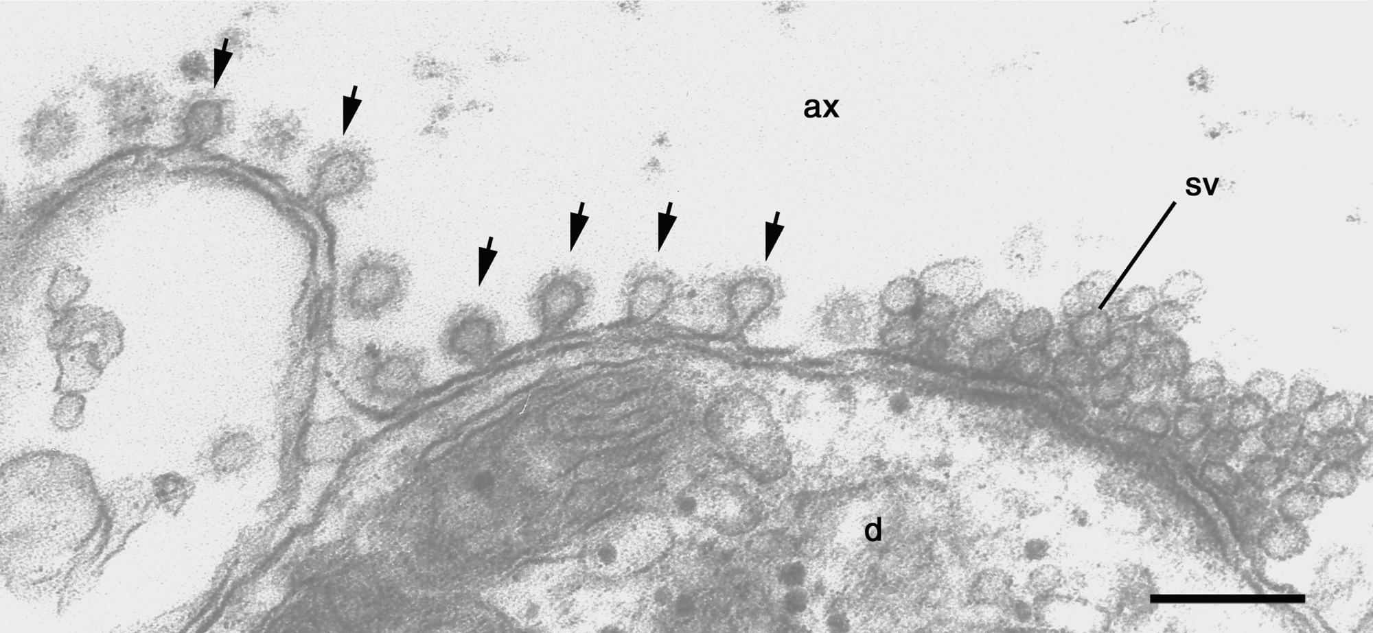
Amphiphysin trapped coated pits with narrow necks

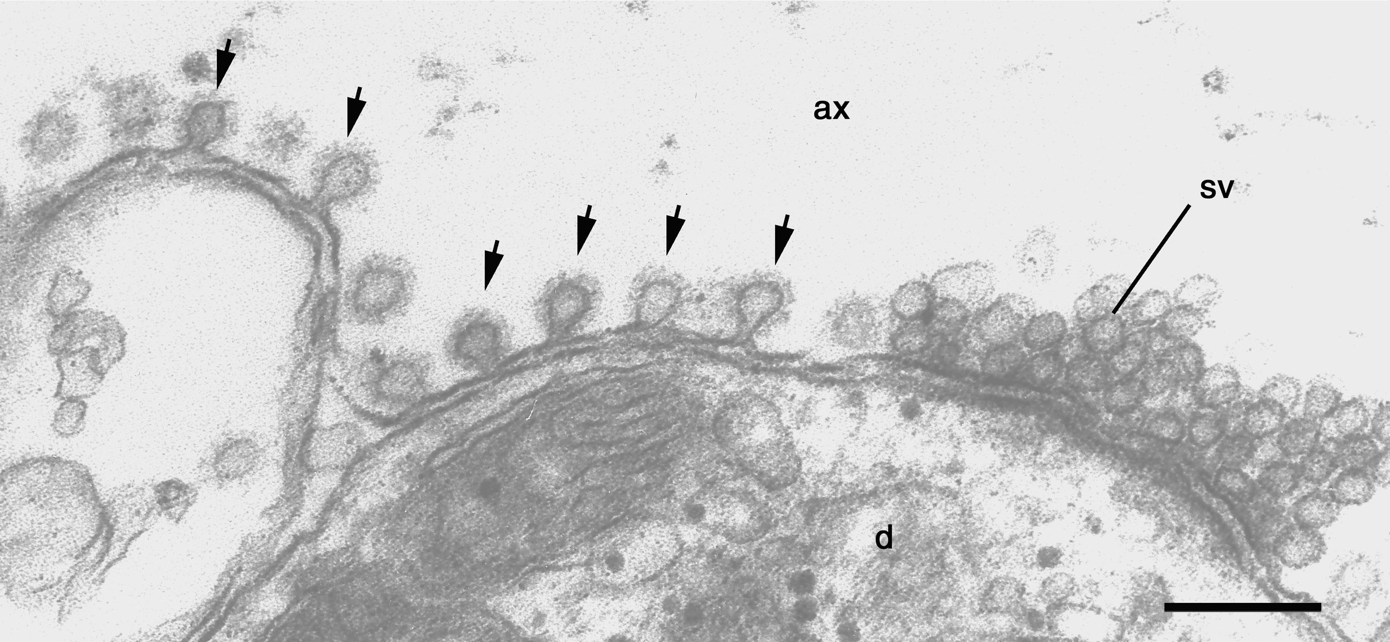
Amphiphysin trapped coated pits with narrow necks

Image Credit: Frauke Ackermann, Joshua A. Gregory and Lennart Brodin